Aspergillos

Panic

6 mån, Silkestupp

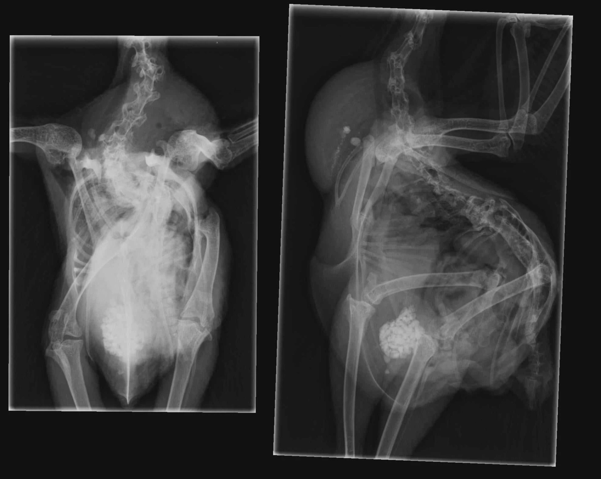
Panic var en silkiehöna med korsnäbb. Han hade en tuff start i livet på grund av korsnäbben, och senare utvecklade han svår skolios. Han var bara hälften så stor som en normal silkiehöna, vilket tydde på att något i hans system inte fungerade som det skulle.

Det började med att han gick ner i vikt och hade mycket luft i kråset (till en början misstänkte jag sur kräva). Han tappade vikt så snabbt, och trots sondmatning kunde han inte tillgodogöra sig maten. Eftersom han redan var så liten från början hade han helt enkelt inte mycket reserver att förlora. Hans tillstånd försämrades snabbt, och helgen innan han gick bort började han flåsa kraftigt.
Eftersom han var så liten kunde veterinären inte ens testa honom för aspergillos, han hade inte tillräckligt med blod. Och även om testet hade varit positivt, skulle han inte ha överlevt medicineringen, eftersom hans njurar redan var för svaga för att klara av det.
Jag kunde se i hans ögon att han inte kunde fortsätta. Han fick somna in lugnt på veterinärkliniken, bredvid mig och en av hans flockkamrater, med vetskapen om att han var djupt älskad.
När jag ser tillbaka och gjorde research för denna artikel är jag ganska säker på att Panic hade den kroniska formen av aspergillos och redan var infekterad när han kom hit.

2024/02/22  –  2024/08 /22

bortgång höns
silkies wry neck
Det fläckiga på röntgen bilden tyder på Aspergillios infektion, kan ni även se den grava Skoliosen
Det fläckiga på röntgen bilden tyder på Aspergillios infektion, kan ni även se den grava Skoliosen