Sur Kräva E coli infektion

Professor Ratigan ”Poppi”, silkiehöna

3 år gammal

I slutändan var det hennes egen kropp som förstörde henne. Det började som ett klassiskt fall av sur kråsa, och behandlades länge som just sur kråsa utan att någonsin bli bättre. Vid första testet var hon negativ för infektion, men senare upptäckte vi att detta var ett falskt negativt resultat. Hennes kropp hade bildat barriärer runt infektionen, abscesser började dyka upp överallt i kroppen och en av dem satt precis i matstrupen. Trots att hon fick rätt antibiotika svarade infektionen inte på behandlingen. På grund av barriärerna runt infektionen kunde inte antibiotikan verka som den skulle.

Infektionen spred sig snabbt under hennes sista sju dagar, vilket gjorde det svårt för henne att andas. Trots allt detta gick hon fortfarande fritt och verkade frisk. När vi till slut såg röntgenbilden visste vi att hon bara skulle bli sämre. Vi kunde ha väntat tills tiden kom, men i slutändan valde vi att låta henne få somna in med värdighet.

Poppi hade aldrig lagt ett normalt ägg. Hon hade suprelorin-implantat större delen av sitt liv. Detta får mig att undra om det redan från början fanns något i hennes kropp som försvagade hennes immunförsvar och gjorde henne särskilt mottaglig för denna infektion.

2021/07/04  –  2024/09 /25

bortgång höns
poppi problem med äggläggning
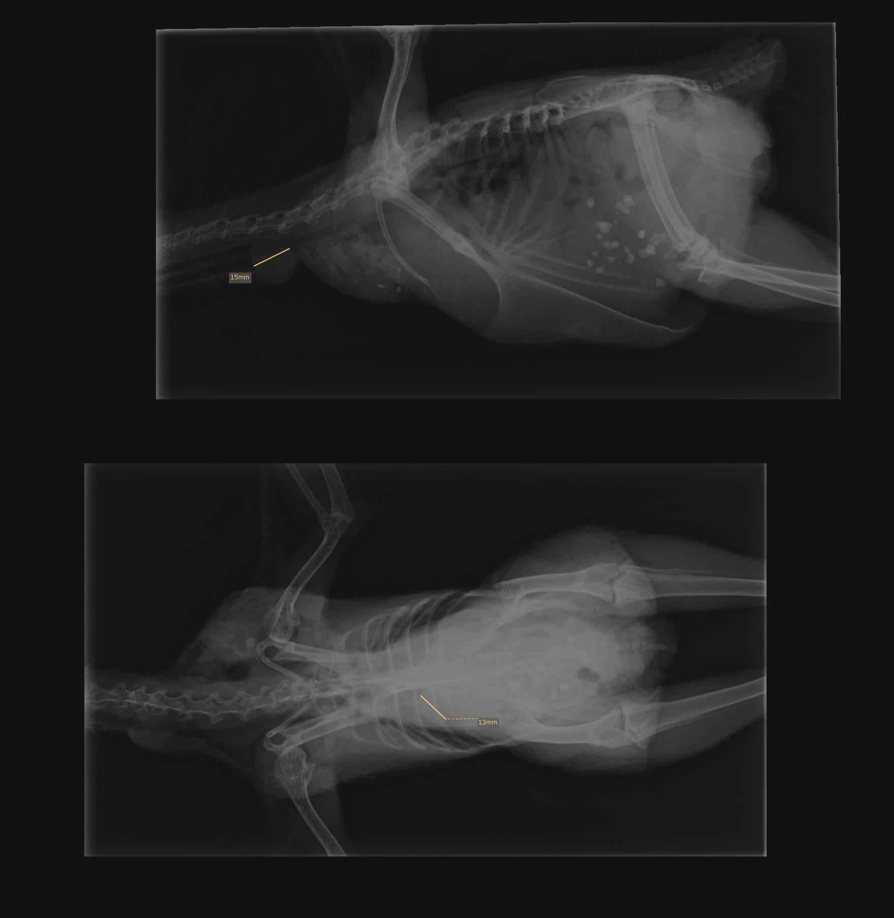
Här kan ni se de utpekande bölderna vid första röntgen, vid röntgen nr 2 hade de dubblerat sig och satt bland annat på luftsäckarna
Här kan ni se de utpekande bölderna vid första röntgen, vid röntgen nr 2 hade de dubblerat sig och satt bland annat på luftsäckarna